Ravishing Red Gums: Embrace Their Natural Beauty and Health

Are Red Gums Normal

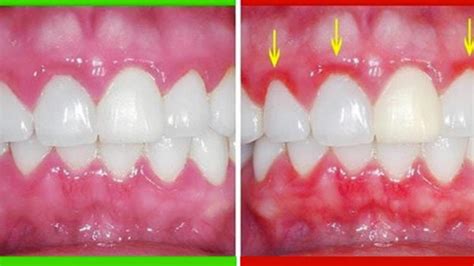
Are Red Gums Normal?

Introduction

Have you ever noticed that your gums appear red instead of their usual pink color? While it's not uncommon for gums to vary slightly in shade, persistent redness could be a sign of an underlying oral health issue. In this article, we will explore the potential causes of red gums and discuss whether it is normal or something to be concerned about.

Possible Causes of Red Gums

There are several reasons why your gums may be red. Here are some common factors that can contribute to redness:

Gingivitis

Gingivitis, the early stage of gum disease, is often characterized by red, swollen, and tender gums. This condition is caused by plaque buildup along the gumline, which leads to inflammation. If left untreated, gingivitis can progress to periodontitis, a more severe form of gum disease.

Aggressive Brushing

If you brush your teeth with excessive force or use a toothbrush with hard bristles, it can cause irritation and damage to your gums. This can result in redness and discomfort. It is important to use a soft-bristle toothbrush and gentle brushing techniques to protect your gum health.

Smoking

Smoking is known to have detrimental effects on oral health. It can cause the gums to become red, swollen, and prone to infection. Smoking also hampers the body's ability to fight off gum disease, making it harder for the gums to heal.

Medications

Certain medications, such as blood thinners and anticonvulsants, can cause gum problems as a side effect. These may include redness, swelling, or even gum overgrowth. If you suspect that your medication is causing your red gums, consult with your healthcare provider for alternative options.

When to Seek Professional Help

While occasional redness in the gums may not be cause for alarm, persistent redness accompanied by other symptoms could indicate an underlying issue. It is important to seek professional dental care if you experience any of the following:

Bleeding Gums

If your gums bleed while brushing or flossing, it could be a sign of gingivitis or gum disease. Your dentist can evaluate the severity of the condition and recommend appropriate treatment.

Pain or Discomfort

If your red gums are accompanied by pain, sensitivity, or discomfort, it is essential to have them checked by a dental professional. They will be able to diagnose the cause and provide necessary treatment.

Persistent Bad Breath

Bad breath that doesn't improve with regular oral hygiene practices may be an indication of gum disease. Red gums can often be a symptom of this condition, so it's crucial to address it promptly.

Conclusion

In most cases, red gums are not normal and may be a sign of an underlying problem. It is important to maintain good oral hygiene practices, including regular brushing, flossing, and routine dental check-ups, to prevent gum issues. If you notice persistent redness or any concerning symptoms, consult with your dentist for a proper diagnosis and treatment plan.

Note: Please remember to add the HTML and body tags when utilizing this content on a website.

Video Are Red Gums Normal


Visit Video

Comments

Popular posts from this blog

Unveiling the Dog Pregnancy Timeline: Signs & Milestones

The Surprising Causes of Beagle Mortality: Unveiling Their Fatal Flaws

5 Foolproof Tips to Soothe Your Pooch's Troublesome Tummy!